Meet Krysta Seals | Ultrasound Technician

We had the good fortune of connecting with Krysta Seals and we’ve shared our conversation below.
Hi Krysta, we’d love to hear more about how you thought about starting your own business?
I have been an ultrasound technician for years and worked in very busy clinics until we moved to Haslet. I decided to stay home with my kids for a few years and when I was ready to go back to go back to work I started thinking about how we do not have a location to do Ob ultrasounds in my city. I had used mobile equipment before and loved doing my friends gender reveals on my couch. Then the idea for Let’s See Baby Ultrasound was born.

What should our readers know about your business?
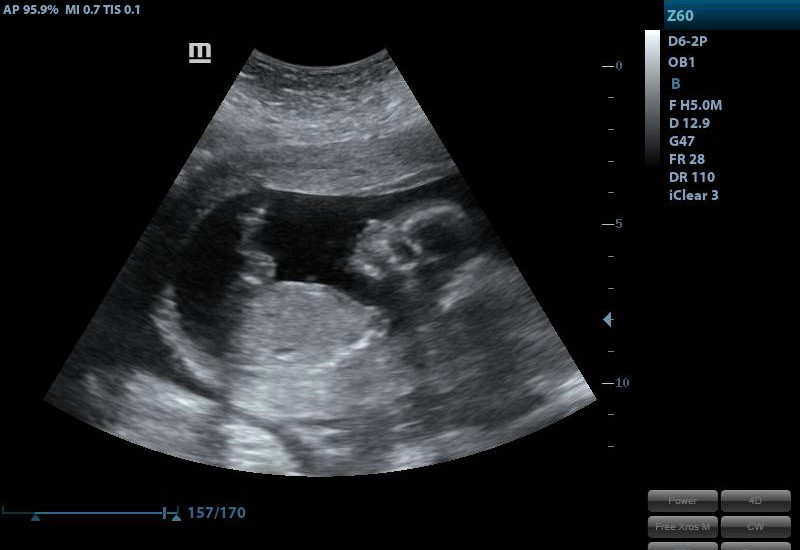
My business is a mobile ultrasound company. I come to your home, bring everything I need and do your Ultrasound while you lay on your couch surrounded by friends and family. I have had so much fun getting to know my families and doing all the fun parts of ultrasound. I do early pregnancy, gender reveals, baby showers, 2D and 3D/4D. Getting started wasn’t easy, I built my website, I got an equipment loan, I got some quotes, purchased my equipment and started advertising my services with social media.
Let’s say your best friend was visiting the area and you wanted to show them the best time ever. Where would you take them? Give us a little itinerary – say it was a week long trip, where would you eat, drink, visit, hang out, etc.
That’s easy, I recently had my best friend in town. We started the week with a trip to Waco to visit magnolia farms then “Friday Night Lights” at the local high school, Saturday we went to the farmers market in Keller, and ate at hard 8 in downtown Roanoke. On Sunday we attended church service then spent the rest of the day down at the Stockyards. We saw the cattle walk the streets, shopped all the local shops and the kids loved the maze and petting zoo. Monday was spend splashing around at the Hawaiian Falls water park and lunch at Bu-cee’s

The Shoutout series is all about recognizing that our success and where we are in life is at least somewhat thanks to the efforts, support, mentorship, love and encouragement of others. So is there someone that you want to dedicate your shoutout to?
I told my husband that I wanted to get back into ultrasound it I wanted to do something closer to home. After asking around in my neighborhood I found out that we had a need for a 3D/4d location in our area. So I started to think up a plan to do a mobile non-diagnostic business. After I told my husband the plan he was all in. He was encouraging, helpful and very proud of me and that made getting started so much easier.
Website: LetsSeeBabyUltrasound.com
Instagram: Instagram.com/LetsSeeBabyUltraound
Facebook: https://www.facebook.com/LetsSeeBabyInHomeUltrasound
