Meet Cody Guy | Brain Cancer Survivor & Nonprofit Founder


We had the good fortune of connecting with Cody Guy and we’ve shared our conversation below.
Hi Cody, what was your thought process behind starting your own business?
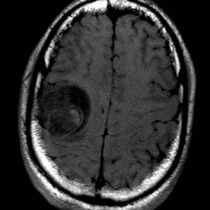
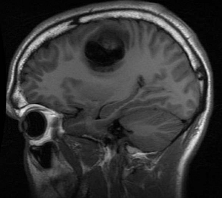
I’m a 17-year glioblastoma brain cancer survivor. I suffered greatly during cancer treatment and If I knew then what I know now, I would have used hemp-based products to find relief from the side effects of radiation and chemotherapy. Cancer patients are increasingly purchasing hemp products but the costs are high. I created the nonprofit so we can overcome that barrier and learn more in the process through case studies.

Can you give our readers an introduction to your business? Maybe you can share a bit about what you do and what sets you apart from others?
Our nonprofit is dedicated to increasing the quality of life for cancer patients during treatment. Our unique board is primarily “For patients, by patients.” The team is made up of cancer patients, survivors and their loved ones. We’ve been helped along our journey by fellow survivors and supported by a number of businesses in one way or another, between hosting space to promoting enrollment. It hasn’t been quick or easy… the project has been years in the making through research, partnerships and a lot of paperwork. I’ve learned that patience really is a virtue, that good people aren’t that hard to find, and that support is ultimately a numbers game.
We are giving hope to those going through the worst time in their lives through education, support and donated hemp products. Our work ultimately furthers the science behind cannabis and cancer care.


Any places to eat or things to do that you can share with our readers? If they have a friend visiting town, what are some spots they could take them to?
I really don’t go out much except for business networking or cannabis events. I would take them to Dallas Hemp Company where they serve infused CBD coffee and hemp-infused dinners. I’d visit some of the storefronts in the area and if there was an event, we’d definitely go.


Shoutout is all about shouting out others who you feel deserve additional recognition and exposure. Who would you like to shoutout?
Shan Claudio, Dallas Hemp Company; Colt Power, Power Biopharms; Jim Gerencser, E.R.I.C.


Website: https://www.hempitforward.org/
Instagram: @hempitforward
Linkedin: https://www.linkedin.com/in/codyguy/
Facebook: https://www.facebook.com/hempitforward
Other: My biography… https://www.codyguy.com
Image Credits
myself
